
Los alienadores son una de las mejores alternativas para TU tratamiento de ortodoncia, sin brackets, sin dolor, totalmente transparentes
.png/:/cr=t:0%25,l:0%25,w:100%25,h:100%25/rs=w:388,h:388,cg:true)
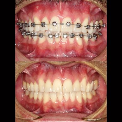
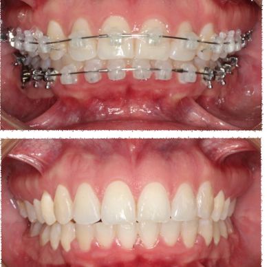
El sistema de autoligado Damon emplea una menor fuerza de ligado, proporcionando un tratamiento más rápido, cómodo y menos doloroso
%2010.20.0.png/:/cr=t:8.27%25,l:0%25,w:100%25,h:89.71%25/rs=w:388,h:388,cg:true)
Estudio realizado por medio de escáner digital que nos permite diseñar cambios estéticos en tu sonrisa con resultados naturales
%2012.14.3.png/:/cr=t:0%25,l:0.38%25,w:99.25%25,h:100%25/rs=w:388,h:388,cg:true)
Corrección de encías para una sonrisa más saludable y estética. Elimina el exceso de tejido o corrige la recesión de las encías con precisión y cuidado.
%201.27.10.png/:/cr=t:0%25,l:18.4%25,w:67.93%25,h:100%25/rs=w:388,h:388,cg:true)
Con más de dos décadas de experiencia, abordar casos ortodónticos desafiantes se ha convertido en mi pasión y especialidad, transformando sonrisas de manera excepcional.
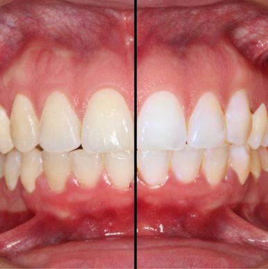
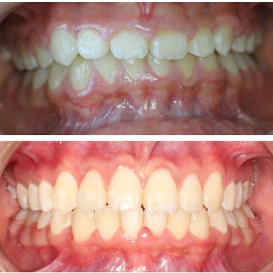
Mejora la apariencia de la sonrisa y los dientes a través de procedimientos diseñados para lograr una sonrisa más atractiva y armoniosa.
%2012.07.3.png/:/cr=t:8.99%25,l:0%25,w:100%25,h:82.02%25/rs=w:388,h:388,cg:true)
Están hechos de materiales transparentes o del color del diente, lo que los hace menos visibles. Ofrecen una opción discreta para quienes desean enderezar sus dientes sin que los aparatos sean tan notorios.
-3e710a0.png/:/cr=t:0%25,l:16.81%25,w:66.38%25,h:100%25/rs=w:388,h:388,cg:true)
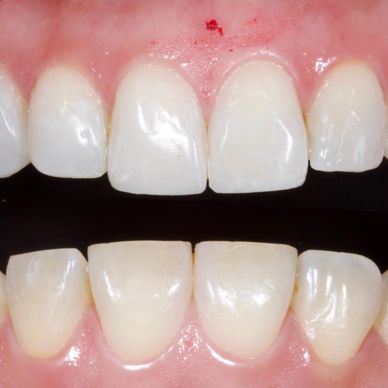
Elimina las manchas y decoloraciones, revelando unos dientes más blancos y saludables. ¡Recupera tu confianza y presume una sonrisa deslumbrante!

Ayuda a mantener una buena salud oral, prevenir problemas como la caries y la enfermedad de las encías, y deja los dientes con una sensación de limpieza y frescura eliminando la placa dental, el sarro y las manchas de los dientes.
Copyright © 2021 Andrés Perdomo Ortodoncia-Estética Dental - Todos los derechos reservados.